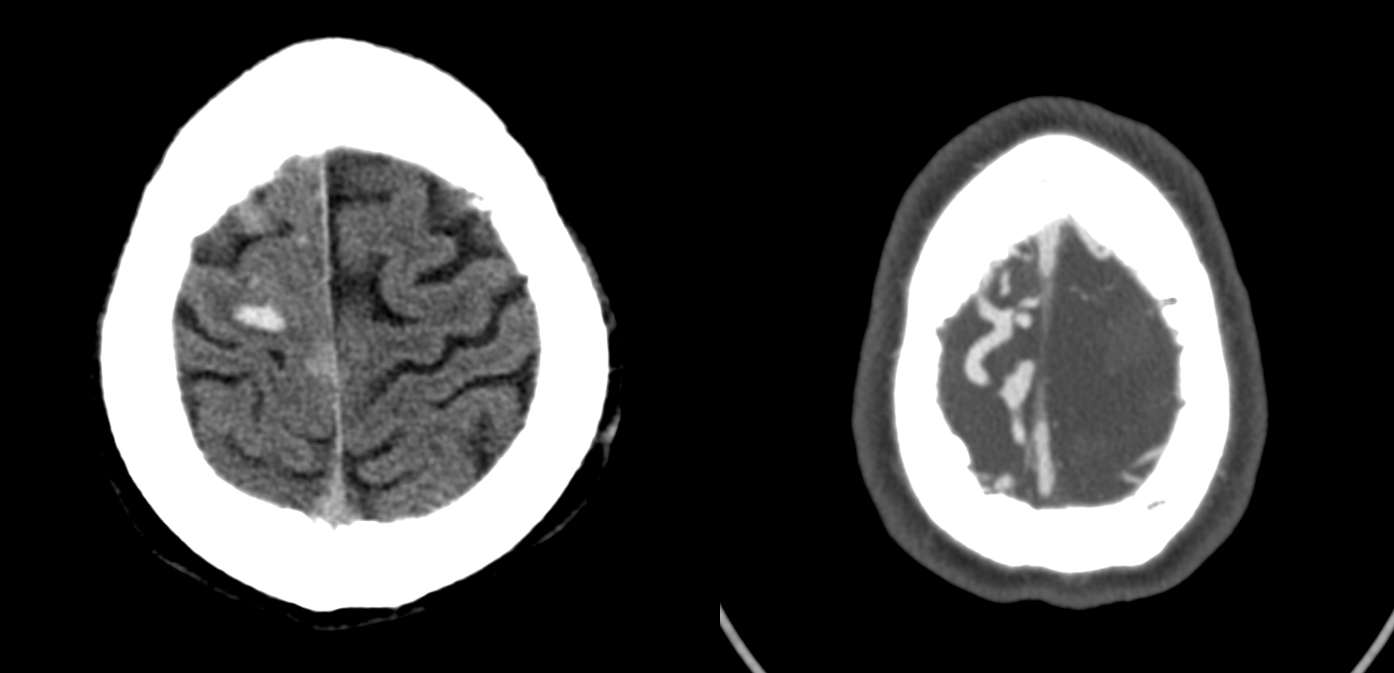
Lots of learning points here. Presentation with hemorrhage

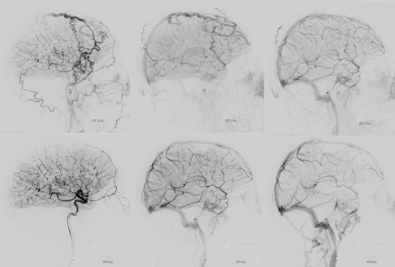
Angio — the good side

Bad side


Some venous CBCT etc
For example. To get venous phase of right ica injection, for Artis Q — choose 5 second DSA DCT — dual volume. FOV = 42 cm. Pure contrast. Inject right ICA at 3 cc/sec for 15 ccs — thus 5 second injection. From END of injection to appearance of veins is 3.5 seconds. Thus delay is 5+3.5= 9 seconds rounding up. Usually around 10 sec delay is about right
MIP Fill
SUB
Volume Rendered rotational of SUB — with added fusion of the ECA
Stereo pair

U can do the same for the other side…
And go from there
A few arterial fusion stereos

Access is challenging but not impossible with the right tools

Micro angio and onyx 18 cast. A mistake is made here

Reflux

Still alive. Why? Onyx is not adhesive etc etc? No…

How’s them apples. Reaccess is possible….

This shows the mistake. Can u see?

nBCA — its not that Onyx or nBCA is better. From this position Onyx will not reach for sure so nBCA is the way to go

Glue reflux

Closed


Now, look at the images below and tell me what the mistake during first injection was. The images on right should read post embo 1
