Not always asymptomatic! Of course this is the exception to the rule, but so what — that’s what brains are for — to think thru every case on its own
Giant SSS granulation — incidental at this point

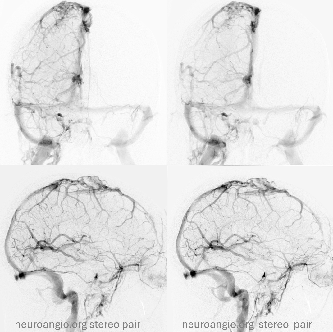
Later on… right side is good

Left side is bad — can you see it?

Later phase of bad

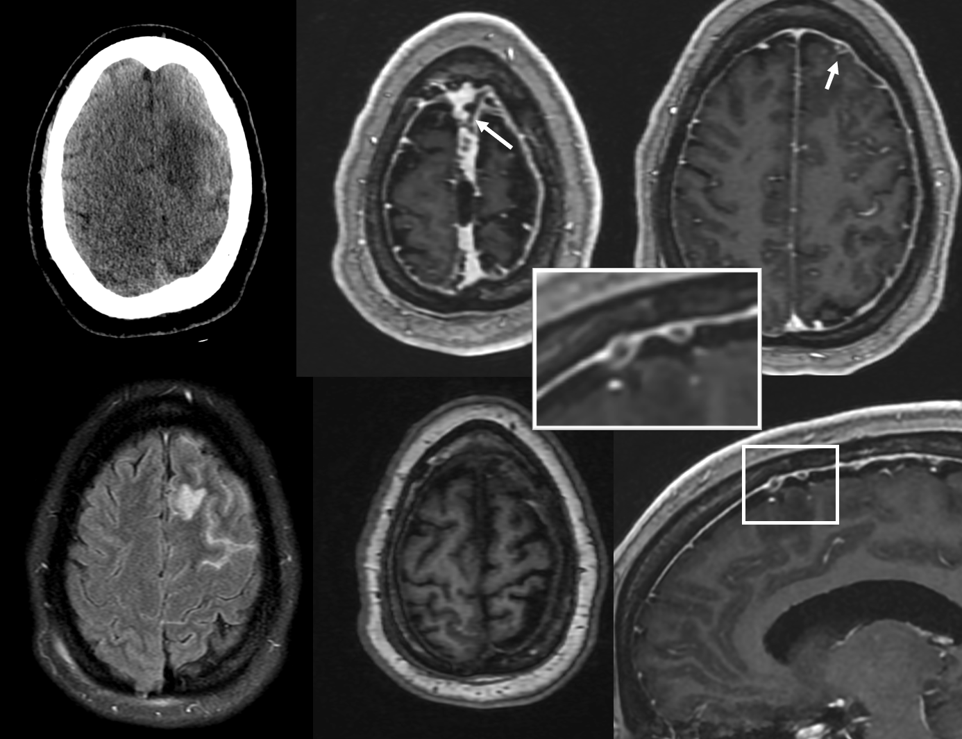
CT/MR — without annotations

With

Treatment with anticoagulation of course
Below are different patients, with giant granulations — asymptomatic as is usually the case. More of these on the Venous Sinuses page
