Fantastic case of Caleb Rutledge and Eytan Raz
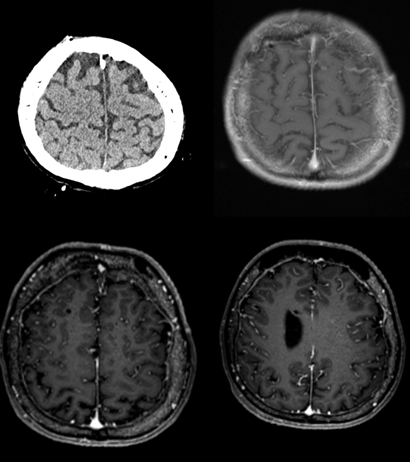
History is complex and unique. There is a convexity dural fistula

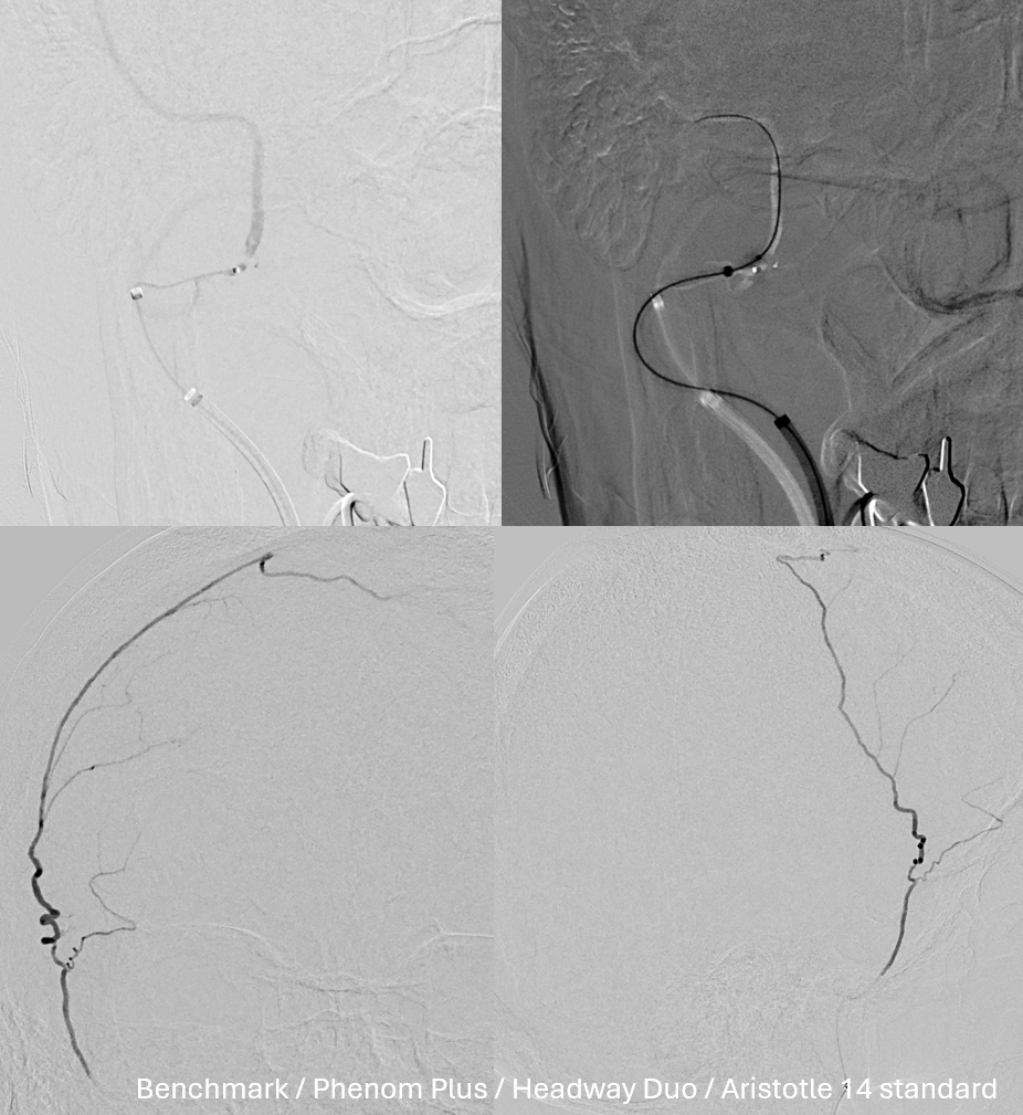
Supply is from right primarily. Note something unusual about the MMA — hard to see here

Right ECA — also unusual appearance of the MMA

Here is the detail. There is a short segment proximal MMA occlusion, with reconstitution from the anterior deep temporal

There are a number of options present here. One is to try to recanalize the MMA — the advantage is that if it does not work out, nothing bad happens.
Recanalization is successful with Aristotle 14 standard and headway duo, supported by Phenom Plus and Benchmark (radial access)

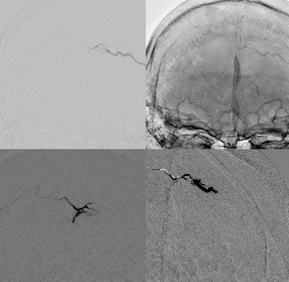
The rest of the way is not easy either — tons of tortuosity. This is addressed with a hybrid .07, and phenom plus in the MMA beyond the recanalized occlusion. Amazing

Onyx

It is important to have control from other side — and another access for that. Needed more onyx

Done

The MMA remains recanalized — better than ever…
