neuroangio.org

Your neurovascular education and information source

  • Mailing List
  • Credits
  • Topics & Lectures
  • Treatment Guides
  • Case Library
  • Pulsatile Tinnitus
  • Yun Peng Huang Collection
  • Contact
neuroangio.org
Skip to primary content
Skip to secondary content
  • Home
  • BANANA
  • BANANAZ
  • Patient Information
    • Arterial Dissection — Carotid, Vertebral, Basilar Arteries
    • Brain Aneurysm
    • Brain Arteriovenous Malformation
    • Brain Dural Fistula
    • Carotid Artery Web
    • Developmental Venous Anomaly or DVA
    • Infundibulum
    • Spinal Angiogram
    • Spinal AVM
    • Spinal Dural Fistula
    • Spinal Intradural (Pial) Fistula
    • Spinal Metameric AVM
  • Pipeline Device
    • Pipeline Device Aneurysm Selection
    • Pipeline Device Guide
    • Pipeline Flex
    • Pipeline Classic
  • Anatomy and Variants
    • AICA
    • Anterior Cerebral Artery
    • Anterior Choroidal Artery
    • Aortic Arch
    • Ascending Pharyngeal Artery
    • Basilar Artery
    • Carotid Web
    • Deep Cervical Artery
    • Diagrams and Drawings
    • Dorsal Ophthalmic Artery
    • Inferolateral Trunk
    • Internal Carotid Artery and Its Aneurysms
    • Intrinsic Dural Arterial Vasculature
    • Lingual Artery
    • Mandibulovidian Artery
    • Meningeal Vessels
    • Meningohypophyseal Trunk
    • Middle Cerebral Artery
    • Middle Meningeal Artery
    • Occipital Artery
    • Ophthalmic Artery
    • Persistent Stapedial Artery
    • PICA
    • Posterior Cerebral Artery
    • Posterior Choroidal Arteries
    • Posterior Communicating Artery
    • Posterior Meningeal Artery
    • Subclavian Artery
    • Superficial Temporal Artery
    • Superior Cerebellar Artery
    • Thyroid Arteries
    • Trigeminal Artery
    • Ventral Ophthalmic Artery
    • Vertebral Artery
    • Vertebrobasilar System
  • Venous Brain Anatomy
    • 4th ventricle and its veins
    • Anterior Pontomesencephalic Vein
    • Basal Vein of Rosenthal
    • Bridging Vein (anterior brainstem group)
    • Cavernous Sinus
    • Deep Venous System
    • Diploic Veins
    • Dural Venous Channels
    • Dural Venous Vasculature — Intrinsic Dural and Skull Veins
    • Emissary Veins
    • Internal Cerebral Vein
    • Medullary Veins – White Matter Veins
    • Medullary Venous Malformation or DVA
    • Precentral Cerebellar Vein
    • Superficial Venous System
    • Veins Posterior Fossa
    • Venous Sinuses
    • Cerebral Venous Embryology
  • Spinal Vascular Anatomy
    • Lateral Spinal Artery
    • Spinal Arterial Anatomy
    • Spinal Arterial Aneurysm
    • Spinal Dural Fistula
      • Cases Spinal Dural AVF
    • Spinal Epidural Fistula
    • Spinal Intradural (Pial) Fistula
    • Spinal Vascular Malformations (umbrella page)
    • Spinal Venous Anatomy
Home→Case Archives→CSF Lymphatic Fistula

Search Neuroangio

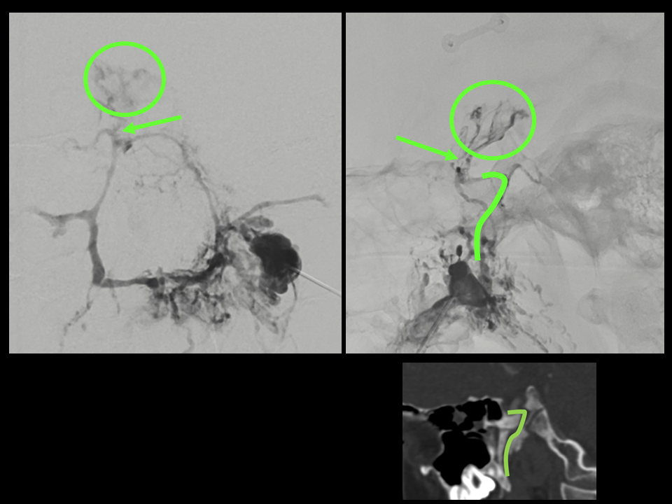
CSF Lymphatic Fistula

By Eytan Raz MD PhD

A fantastic and unique case

More?

Come to BANANA!

  • Facebook
  • Twitter
  • Instagram
  • YouTube
  • LinkedIn

Pages

  • Anatomy and Variants
    • Accessory Meningeal Artery
    • AICA
    • Anterior Cerebral Artery
    • Anterior Choroidal Artery
    • Aortic Arch
    • Artery of Heubner
    • Ascending Pharyngeal Artery
      • Lateral And Medial Clival Arcades
    • Basilar Artery
    • Carotid Web
    • Cavernous Branch of MMA
    • Central Retinal Artery
    • Deep Cervical Artery
    • Descending and Greater Palatine Artery
    • Diagrams and Drawings
      • Anterior Meningeal Artery
      • Artery of the Superior Orbital Fissure
      • Caroticotympanic Artery
      • Deep Recurrent Meningeal Artery
      • Ethmoidal Arteries
      • Labyrinthine Artery
      • Lacrimal Artery
      • Odontoid Arcade
      • Sphenoid Ridge Branch
      • Straight Sinus Artery
      • Subarcuate Artery
    • Dorsal Nasal Artery
    • Dorsal Ophthalmic Artery
    • Facial Artery
    • Foramen Lacerum Branch
    • Foramen Rotundum Artery
    • Inferolateral Trunk
    • Infraorbital Artery
    • Internal Carotid Artery and Its Aneurysms
    • Intrinsic Dural Arterial Vasculature
    • Lateral Tentorial Arcade
    • Lingual Artery
    • Mandibulovidian Artery
    • Marginal Tentorial Arcade
    • Meningeal Vessels
    • Meningohypophyseal Trunk
    • Middle Cerebral Artery
    • Middle Meningeal Artery
    • Occipital Artery
    • Ophthalmic Artery
    • Ophthalmic Artery
    • Persistent Stapedial Artery
    • Petrous Branch
    • PICA
    • Posterior Cerebral Artery
    • Posterior Choroidal Arteries
    • Posterior Communicating Artery
    • Posterior Meningeal Artery
    • Primitive Maxillary Artery
    • Pterygovaginal Artery
    • Sphenopalatine Artery
    • Subclavian Artery
    • Superficial Temporal Artery
    • Superior Cerebellar Artery
    • Superior Hypophyseal Artery
    • Supreme Intercostal Artery
    • Thyroid Arteries
    • Trigeminal Artery
    • Ventral Ophthalmic Artery
    • Vertebral Artery
    • Vertebrobasilar System
  • BANANA
  • BANANAZ
  • Case Archives
    • A Case of Even More Critical Basilar Occlusion
    • A2 Subacute Revascularization Stent Angioplasty
    • ACA A2 Segment Balloon-Mounted Stenting
    • ACDF Intraop Vert Injury and Repair
    • ACOM Aneurysm Coiling Subcallosal Artery Threatened Occlusion and Recovery
    • ACOM Pipeline Small A1 is Way Better Than None
    • ACOM Rerupture Angio Coiling
    • ACOM Variation — Flow Diversion Points
    • Acute Stroke Intracranial Stenting
    • Aneurysm Vessel Wall Imaging
    • Angiographic Appearance of Encephalitis
    • Angiography — Thalamic Hemorrhage Spot Sign
    • Angiography Cardiac Myxoma Intracranial Aneurysms
    • Anterior Cerebral Artery Dolichoectasia
    • Archives — CT Perfusion of Artery of Percheron Occlusion and Thrombectomy
    • Archives — Falcotentorial Dural Fistula Angiogram
    • Archives — Stroke Intervention — Something For Everyone
    • Archives — Traumatic Middle Meningeal Artery Fistula
    • Archives ACOM aneurysm treatment with bilateral Pipeline devices
    • Archives Aneurysm Balloon Remodeling
    • Archives Aneurysm Post-Clip Rerupture and Treatment
    • Archives Batson Venous Plexus
    • Archives Blister Aneurysm Pipeline Embolization
    • Archives Coiled Aneurysm Re-Rupture and Retreatment
    • Archives Dural Fistula at Anterior Spinal Artery Pedicle Embolization
    • Archives Dural Fistula Embolization — Protecting the Anterior Spinal Artery
    • Archives Dural Fistula Sagittal Sinus with Parenchymal Hemorrhage
    • Archives Epidural Hematoma and Middle Meningeal Artery Fistula
    • Archives Foramen Magnum Preoperative Embolization Particles and nBCA
    • Archives Left Radial Artery Access Intracranial Vertebral Artery Stent
    • Archives Missed Spinal Aneurysm Case
    • Archives Petroclival Meningioma Embolization Major ILT Supply
    • Archives Radial Access Carotid Cavernous Fistula Embolization
    • Archives Radial Access FMD
    • Archives Radial Small Right Paraophthalmic Aneurysm
    • Archives Sigmoid Sinus Fenestration in Pulsatile Tinnitus
    • Archives Sigmoid Sinus Fistula Focal Trapped Segment
    • Archives Stroke Balloon-Assisted Tracking Technique
    • Archives Stroke Distal MCA M4 Mechanical Thrombectomy
    • Archives Superselective Dural Fistula Embolization 4
    • Archives Takayasu Arteritis Angioplasty
    • Archives Terson Syndrome Subarachnoid Hemorrhage
    • Archives Thrombosed DVA
    • Archives Tiny Aneurysm Coiling
    • Archives-Stroke-M3-Sofia5F-aspiration-thrombectomy-and-cool-venous-variants-to-boot
    • Archives-Ultrasound-Guided-Femoral-Pseudoaneurysm-Compression
    • Archives_Ethmoid_Fistula_Tranvenous_Embolization
    • Archives_Lateral_Spinal_Artery_Thrombectomy
    • Archives_Sacroplasty
    • Archives_Sphenoparietal_Sinus_aka_Greater_Wing_of_Sphenoid_Dural_Fistula
    • Archives_Stroke_Bihemispheric_PICA_Lateral_Spinal_Artery
    • Archives_Stroke_Dominant_A1
    • Archives_Stroke_M1_Reocclusion_Stenting
    • Archives_Stroke_Persistent_Stapedial_Artery_Collateral
    • Archives_Ulnar_Artery_Access_ACOM_Coiling_Balloon_Protection
    • Artery of McConnell
    • Ascending Palatine Artery
    • Azygous ACA Thrombectomy
    • BANANA 2024 CS
    • BANANA bites
    • BANANA BITES — Preoperative Embolization Sphenoid Wing Meningioma — Both Arteries and Veins are Important
    • Basilar Artery Stenting Acute Stroke
    • Basilar Perforator Aneurysm Clipping
    • Basilar Perforator Aneurysm Perimesencephalic Hemorrhage
    • Basilar Terminus Fenestration vs. SCA aneurysm — Good Angiographic Technique
    • Basilar Thrombectomy via Posterior Communicating Artery
    • Basilar-ectasia-dissection-pure-arterial-malformation-what-is-it
    • Bilateral ACA and left MCA emboli — use of Perfusion and knowledge of anatomy guide intervention
    • Bilateral PCA Emboli Plus Carotid ICAD
    • Brain AVM — Symptomatic Venous Varix Embolization
    • Brain Metal Emboli
    • C1 Dural Fistula Endovascular and Surgical Treatment
    • Carotid Revascularization and Perfusion Pearls
    • Carotid Web M1 and A2 Emboli
    • Carotid Web Recurrent Emboli — The Imperfect Storm
    • Carotid-T Occlusion More Than Meets the Eye
    • Case Archives — Bow Hunter’s Syndrome (positional vertebrobasilar insufficiency)
    • Case Archives — Carotid Web — a Rare Cause of Embolic Stroke
    • Case Archives — Cavernous Sinus Dural Fistula MHT embolization
    • Case Archives — Differential Diagnosis of Skull Base Lesion
    • Case Archives — Dissection with False Lumen
    • Case Archives — Dorsal Spinal Epidural Hematoma
    • Case Archives — Kyphoplasty — Paying Attention to Fracture Lines
    • Case Archives — Post-traumatic occipital dural fistula
    • Case Archives — The Nonhappening Epidural Hematoma — Post-traumatic Dural Fistula
    • Case Archives — Trigeminal Neuralgia from Lateral Pontine Vein Compression
    • Case Archives — Ventriculostomy (EVD) Hematoma — Another Curious Case for the Angiogram
    • Case Archives Anterior Spinal Artery Duplication
    • Case Archives Bilateral Carotid Dissections with Lower Cranial Nerve Dysfunction
    • Case Archives Cavernous Thrombophlebitis
    • Case Archives Direct Occipital Dural Fistula Embolization
    • Case Archives Foramen Magnum Meningioma Embolization
    • Case Archives Petroclival Meningioma Embolization with MHT Access
    • Case Archives Post-Traumatic Fistulas
    • Case Archives Postoperative Venous Infarction
    • Case Archives Sigmoid Sinus Dural Fistula with Extensive Venous Infarction
    • Case Archives Spinal Cord Hemangioblastoma Preoperative Embolization
    • Case Archives Stroke CT vs CT Perfusion
    • Case Archives Sturge Weber Syndrome (Encephalotrigeminal Angiomatosis)
    • Case Archives Venous Pulsatile Tinnitus
    • Case_Archives_Anterior_Spinal_Artery_PICA_Reconstitution
    • Cavernous Dural Fistula Achilles Heel Superselective Embolization
    • Cavernous Sinus Dural Fistula Direct Transorbital Access
    • Cavernous Sinus Dural Fistula Occluded Inferior Petrosal Sinus Access
    • Cavernous Sinus Fistula Access via Occluded SUPERIOR Petrosal Sinus
    • Central Retinal Artery Occlusion Cone Beam CT
    • Cerebral Angiography Recognizing Intraprocedural Emboli
    • Cervical Spinal Dural Fistula
    • Charcot-Bouchard Aneurysms Of Unusual Size? I Don’t Think They Exist. Well, Maybe — Look Here in the Brainstem
    • Choroid Plexus Papilloma Preoperative Embolization
    • Clinoid Tentorial Arcade
    • CNS Vasculitis
      • Cavernous Sinus Fistula Angioarchitecture Points
      • Venous Malformation Receiving Brain Cortical Drainage
    • Comaneci Device for Distal Vasospasm Treatment
    • Complex AVM-dAVF Common Vein
    • Complex P2 Fusiform Aneurysm Multiple Teaching Points Threatened Occlusion
    • Compression Fracture Reduction Kyphoplasty Height Restoration Cord Compression Improvement
    • Convexity Dural Fistula Missed Vein CBCT Socrates Access
    • Convexity Dural Fistula MMA Recanalization Access
    • Convexity Meningioma Embolization Dural Venous Channel Importance
    • Cortical Venous Thrombosis Due to Giant SSS Granulation
    • CSF Lymphatic Fistula
    • Deep Temporal Arteries
    • Delayed M2 Revascularization and Stenting
    • Descending Palatine Artery Pseudoaneurysm post LeFort Osteotomy
    • Diagnosis Dilemma 1
    • Direct Carotid-Cavernous Fistula Coil-Pipeline reconstruction
    • Direct Carotid-Cavernous Fistula Tranvenous Onyx Embolization
    • Direct Transorbital Puncture for Treatment of Cavernous Sinus Dural Fistula
    • Dissection Carotid Loop Wallstent Repair
    • Distal 027 Microcatheter Aspiration Thrombectomy
    • Double the Solitaire Double the Strength
    • Dual Catheter Aneurysm Coiling
    • Dural Fistula and Extensive Venous Sinus Thrombosis
    • Dural Fistula Cerebellar Hemorrhage
    • Dural Fistula Superselective Venous Embolization
    • Dural Venous Channel Fistula of Paramedian Tentorium Cerebelli — NOT a Brain AVM
    • Dural Venous Channel Fistula Parasagittal Extensive Hemorrhage
    • Dural Venous Channel Posterior Temporal Fistula
    • Dural Venous Channel Tentorium Cerebelli — Tentorial Sinus Fistula 1
    • Dural Venous Channel Tentorium Cerebelli Fistula Next to Labbe
    • Dural Venous Channel Tentorium Cerebelli — Tentorial Sinus Fistula 2
    • Ear AVM
    • Emergent Intracranial Stenting
    • Ethmoid Fistula Trans-Ophthalmic Embolization
    • Ethmoidal Fistula Ophthalmic Artery Embolization
    • Ethmoidal Fistula Transarterial Embolization
    • Extremely Unusual DVAs and More
    • Failed Pipeline Multiple Teaching Points
    • Falcotentorial Meningioma Preoperative Angio Evaluation and Embo CBCT Role
    • Flow Diversion with an Aneurysm Clip
    • Foramen Cecum Vein
    • Foramen Magnum Meningioma Fusion DYNA Surgical Planning
    • Galen and Straight Sinus Thrombosis — Direct tPA Magic
    • Gamma Knife DYNA CT Cone Beam CT Targeting
    • Giant Aneurysm Bypass and Deconstructive Treatment with Vasa Vasorum
    • Giant Holobasilar Aneurysm Plus — Advanced Imaging
    • Growth and Rupture of Vertebral Artery Pseudoaneurysm and PICA Pipeline
    • H-PIPE of Recalcitrant PCOM
    • Hemangioma Embolization Benefit of Cone Beam CT
    • Hemangioma Embolization Next to ASA
    • Hemangiopericytoma Embolization and Resection
    • Hemangiopericytoma Pial and Dural Embo
    • ICAD Atlas Restenosis Onyx Stenting
    • In Tribute — EZ Does It — Neuroform Stent-Supported Aneurysm Coiling
    • Inferior Hypophyseal Artery
    • Innumerable Congenital Variations Basilar Artery Pipeline
    • Innumerable Dural Fistulas Superselective Transvenous Cure
    • Innumerable Shunts Superselective Transvenous Embolization Images Only
    • Internal Carotid Artery Chronic Total Occlusion Revascularization
    • Internal Carotid Artery Chronic Total Occlusion Revascularization
    • Intra-arterial tPA for Acute Ischemic Stroke
    • Intracranial Atherosclerosis MCA Stent Occlusion and Re-Stenting
    • Intracranial Atherosclerosis Stenting Ophthalmic Occlusion ECA Reconstitution
    • Intracranial Dissection — In-Depth Case Study
    • Intracranial MCA Dissections — Value of Cone Beam CT in Diagnosis
    • Intracranial Stenosis Angioplasty Failure Rescue Stenting
    • Intracranial Stent Cavernous Carotid Segment
    • Intracranial Vertebral Artery Critical Stenosis Stenting — Fantastic Collaterals
    • Ischemic Optic Neuropathy
    • Isolated Cortical Venous Thrombosis
    • JNA–Juvenile Nasopharyngeal Angiofibroma — Preoperative Embolization
    • Kyphoplasty re-fracture of cemented level
    • Large and Giant Brain Aneurysm Vasa Vasorum
    • Large M4 Zoom Thrombectomy
    • Large Paraophthalmic Aneurysm Pipeline Insufficient Coverage
    • Lateral Spinal Artery Aneurysm
    • Left SCA Aneurysm Pipeline Embolization Left Radial Accesss
    • Locked in Syndrome Atheromatous Basilar Occlusion
    • M1 and A2 Occlusions Perfusion Points
    • M2 Onyx Resolute Stenting
    • M3 Aspiration Colossus Zoom
    • M3-M4-M3-Socrates-Thrombectomy
    • M4 Marksman Sofia Aspiration
    • Macroadenoma Preoperative Imaging
    • Macroadenoma Resection
    • Malignant ACOM Aneurysm Bypass and H-Flow Diversion
    • Malignant PICA Aneurysm Pipeline and Flow Reversal
    • Massive Venous Sinus Thrombectomy and Direct tPA Infusion
    • MCA Bifurcation Pipeline Shield Device
    • Missed Aneurysm Noncontrast Head CT
    • Missed Dural Fistula Helpful MRI T2 CISS
    • Missed Spinal Dural Fistula
    • MMA Embolization Bilateral Recurrent Meningeal Arteries
    • MMA Embolization Occult Ophthalmic Anastomosis
    • MMA Embolization Occult Orbital Anastomosis
    • MMA Embolization Post-Craniotomy Contralateral Reconstitution
    • MMA Embolization With Meningo-ophthalmic Orbital Supply
    • MMA Recurrent Meningeal Artery Variant Collateral Embolization
    • Moya Moya Progression Fusions
    • MRI MRA and MR Perfusion in Acute Stroke
    • Multiple Spinal Fistulas — Pial Dural and Epidural
    • Multiple Spinal Shunts — Images only page
    • Ophthalmic Artery Meningioma Embolization
    • Orbital AVM Direct Puncture and Transophthalmic Embolization
    • Orbital AVM Preoperative Embolization
    • Orbital Metastasis Embolization
    • Orbital Sclerotherapy
    • Paraophthalmic Aneurysm Orbit Shield Stereos
    • Parasagittal Convexity Venous Channel Dural Fistula Embolization
    • Parkes Weber Embolization of Paraspinal Arteriovenous Fistula
    • PCA Stroke CAUTION — Parallel Universe PCA Impostors — Circumflex and Choroidal
    • PCOM Route Intracranial Atherosclerosis M2 Reopening
    • Pediatric Intracranial Dissection
    • Percutanous Vertebral Augmentation of Loose Spinal Fusion Pedicle Screw
    • Perfusion Seizure
    • Perimesencephalic Hemorrhage AVM and Basilar Perforator Aneurysm — Which Is IT?
    • Petroclival Meningioma Embolization One Stop Pedicle Shop Collateral Importance
    • Petroclival Meningioma Multiple Fusions PCOM Supply Post-Embo Shrinkage
    • Petrous Apex Fistula Surgical Occlusion
    • PICA Aneurysm Pipeline Excellent Technique and Anatomy
    • Pipeline Embolization of Residual Ruptured Aneurysm
    • Posterior Condylar Fistula
    • Posterior Fossa Hemorrhage Hypoglossal Canal Dural Fistula
    • Postradiation Meningioma Deep Recurrent Meningeal Supply 6D Fusions
    • Pre-embolization identification of the anterior spinal artery
    • Primitive-Lateral-Basivertebral-Anastomosis-Aneurysm
    • Pulsatile Tinnitus Dural Fistula Sigmoid Sinus Coiling
    • Pulsatile Tinnitus Stenting Threatened Labbe Occlusion Rescue
    • Pulsatile Tinnitus Superselective Transvenous Embolization
    • Pure Arterial Malformation
    • Radial Access ACOM Pipeline Retreatment
    • Radial Access Left Paraophthalmic Aneurysm Pipeline Embolization
    • Radial Access via Aberrant Right Subclavian Artery
    • Radial Catheterization Situs Inversus
    • Radiculopial Artery Aneurysm Resection
    • RAZOM CO-PILOT NEURO UKRAINE MISSION CASE RECORDS
    • Recurrent PCOM Aneurysm Radial Access with Femoral Coversion
    • Redefining Vertebra Plana — The Not So Thin Fracture
    • Rescue Fusion Vertebral Augmentation
    • Ruptured Basilar Perforator Dissecting Aneurysm
    • Ruptured brain AVM Perinidal Lenticulostriate Aneurysm nBCA Embolization Sandwich Technique
    • Ruptured M2 Pseudoaneurysm Pipeline Shield Embolization
    • SAH with Lucky Balloon Angioplasty Part 2
    • SAMMPRIS Intracranial Stenting
    • SCA Aneurysm Coiling Through PCOM
    • SCA Vermian Division Ruptured Aneurysm Flow Diversion
    • Scalp AVM Preoperative Embolization
    • Septic Emboli with Bilateral Carotid Occlusion and Thrombecromy
    • Sigmoid Dural Fistula Superselective Embolization
    • Sigmoid Fistula Progression Sinus Sacrifice
    • Spinal Arterial Radiculomedullary Aneurysm
    • Spinal Artery Test Occlusion and Sacrifice for Tumor Embolization
    • Spinal AVM Recurrence — DYNA CT
    • Spinal Cord Post Ischemia Reperfusion
    • Spinal Dural Fistula Cone Beam Posterior Spinal Artery Identification
    • Spinal Dural Fistula Dangerous Anastomosis Adjacent Level Artery of Adamkiewicz
    • Spinal Dural Fistula Embolization Adjacent to Anterior and Posterior Spinal Arteries
    • Spinal Dural Fistula Embolization with Super Cone Beam Images and Return of Veins to Cord
    • Spinal Dural Fistula High BMI Visualization Returning Veins to Cord
    • Spinal Dural Fistula Massive Congestion Cranial Runoff Return of Veins to Cord
    • Spinal Dural Fistula Post-Treatment Venous Thrombosis
    • Spinal Epidural AVM Embolization
    • Spinal Epidural Fistula
    • Spinal Epidural Hematoma — Epidural AVM
    • Spinal Epidural Hematoma Pseudoaneurysm Embolization
    • Spinal Hemangioblastoma Standalone Embolization
    • Spinal Hemangioma Embolization Posterior Spinal Artery and Arms Up Down DYNA
    • Spinal Infarct Segmental Artery Atherosclerosis
    • Spinal Intramedullary Tumor
    • Spinal Pial Fistula — Dural Fistula Mimic
    • Spot Sign Basal Ganglia Hemorrhage
    • Standalone Petroclival Meningioma Embolization
    • Stent-Retriever post-SAH Vasospasm Angioplasty
    • Strange PCOM Aneurysm Tetra Coil Against Balloon
    • Stroke 027 Aspiration Thrombectomy
    • Stroke Delayed Thrombectomy Collateral Failure
    • Stroke Duplicated Vertebral Artery Dissection
    • Stroke Hypodense Sign Basilar Aspiration Angioplasty and Superior Cerebellar Artery Stent-Triever Plasty
    • Stroke M3 Aspiration of 1 mm vessel by a 1.5 mm OD catheter
    • Stroke_Distal_027_Microcatheter_Aspiration
    • Subacture Rupture coil and Pipeline Shield Treatment
    • Subacute ICAD Revascularization
    • Subacute Intracranial Carotid Artery Revascularization
    • Subacute Middle Cerebral Artery Revascularization Stenting
    • Subcallosal Artery and ACOM Aneurysms
    • Subdural Embolization — Occipital Artery Dural Supply
    • Subdural Embolization Accessory Meningeal Artery Supply
    • Subdural Embolization Multiple Orbital Anastomoses nBCA Technique Spectrum
    • Subdural Embolization of meningolacrimal variant with nBCA
    • Subdural MMA Embolization Via Collaterals Remote Pterional Craniotomy Follow Up
    • Super Complex Double WEB Double ACOM Double Fenestration Double Lobe Ruptured ACOM Treatment
    • Superior Hypophyseal Aneurysm Pipeline Shield Embolization
    • Superior Hypophyseal Aneurysm WEB From Above And Tiny Nano Coiling
    • Superselective Complex Sigmoid Fistula Embolization 4
    • Superselective Dural Fistula Embolization 2
    • Superselective Jugular Fistula Embolization
    • Superselective Jugular Foramen Fistula Transvenous Embolization
    • Superselective Transvenous Embolization Sigmoid Fistula 5
    • Supraclinoid Hyperacute Intracranial Stenting
    • Supreme Intercostal Origin of Right Vertebral Artery
    • Tandem Intracranial Occlusions DYNA / Cone Beam CT Diagnosis and Thrombectomy
    • Technique — Intraprocedural Emboli and Dissection
    • Techniques Dural Fistula Embolization Case 6
    • Tectal Plate Ruptured AVM Embolization Cure
    • Temporomandibular Joint AVM
    • Tentorial Cerebelli Dural Fistula with Vermian Hemorrhage
    • Tentorial Dural Fistula Hybrid Double Angle and Scepter Mini Embolization
    • Thalamoperforator Aneurysm SAH
    • The One-Off Club — Thyrocervical Trunk Fistula
    • Thoracic Schwannoma Spinal Angiogram
    • Tiny ACOM Aneurysm Coiling — Expanding Range of Endovascular Treatment
    • Tongue AVM Reconnecting Lingual Artery
    • Torcular Fistula Massive Venous Congestion and Superselective Embolization
    • Trapped sinus small supply big hemorrhage
    • Trauma — Carotid Cave Sphenoid Sinus Pseudoaneurysm
    • Trauma — Subdural and Parenchymal Hematoma — Occult Anterior Cerebral Artery Tears
    • Trauma Complex Carotid Injury Onyx and Pipeline — The Other Way to Eat a Sandwich — Twice…
    • Trauma Direct Cavernous Carotid Fistula Multiple Sinus Compartments
    • Trauma Direct CC Fistula Covered Stent and Transorbital Occlusion
    • Trauma ICA Dorsal Wall Blister Pseudoaneurysm Pipeline
    • Trauma Recurrent Meningeal Artery Fistula
    • Unstable Carotid Plaque Causing Multiple Embolic Strokes
    • Vasa Vasorum
    • Vasospasm Angioplasty — Compliant Balloons with Lucky Break in a Tough Spot
    • Venous Sinus Diverticulum
    • Venous Sinus Stenting Threatend Labbe Occlusion
    • Venous Sinus Thrombosis — CT and Angiographic Correlation
    • Venous Sinus Thrombosis and Cortical Drainage Adaptation
    • Venous Sinus Thrombosis Mastoiditis Delayed Complications Intracranial Hypertension
    • Vertebral Artery Fusiform Aneurysm Lateral Medullary Perforators 1
    • Vertebral Fusiform Aneurysm Pipeline Shield Embolization — Analysis of Metal Coverage Density
    • Vertebral Pseudoaneurysm Unruptured Pipeline
    • Wallenberg Syndrome Kissing Sofias Vertebral Artery Thrombectomy
    • Wedge Angioplasty of Intracranial Stenosis
    • Whooshers and Pulsatile Tinnitus Foundation Webinar
    • Zoom Distal Thrombectomy Beveled Tip Orientation
  • Cone Beam CT Comprehensive Reference of Principles and Practice
    • CBCT Case Library Brain Aneurysm
    • CBCT Case Library Brain AVM
    • CBCT Case Library Brain Dural Fistula
    • CBCT Case Library Brain MMA Embolization
    • CBCT Case Library Brain Venous Sinus Stenting
    • CBCT Case Library Intracranial Dissection
    • CBCT Case Library Moya Moya
    • CBCT Case Library Spinal Tumor
    • CBCT Case Library Stroke Thrombectomy
    • CBCT Case Library Tumor Embolization
    • CBCT How To Do It Siemens Icono Venous Phase DYNA and Arteriovenous DYNA Fusions Olfactory Groove Meningioma
    • Cone Beam CT Acquisition How to Get Excellent Images Brain
    • Cone Beam CT Acquisition How to Get Excellent Images Spine
    • Cone Beam CT How To Do It Siemsens Q Stroke Leptomeningeal Anastomoses
    • Cone Beam How To Do It Step by Step Philips
      • Cone Beam CT Philips Aneurysm Artisse Cases
      • Cone Beam CT Philips AVM 6D Fusions Embo and Gamma Knife
      • Cone Beam CT Philips Complex Aneurysms Flow Diversion and Stenting
      • Cone Beam CT Philips Giant MCA Aneurysm Bypass and Trapping
      • Cone Beam CT Philips Stents for ICAD
        • Cone Beam CT Philips Stents for ICAD Basilar Occlusion Recanalization from Above
        • Cone Beam CT Philips Stents for ICAD Vertebral Stenosis Vasa Vasorum 2
        • Cone Beam CT Philips Stents for ICAD Supraclinoid Stenosis
      • Cone Beam CT Philips Stents for ICAD Basilar Occlusion Vasa Vasorum 1
    • Cone Beam How To Do It Step By Step Siemens Icono
    • Cone Beam How To Do It Step By Step Siemens Q
      • CBCT How To Do It Siemens Q Awake Intracranial Stent Followup
      • CBCT How To Do It WEB Visualization
      • Fusions of different day procedures — pre and post AVM resection
    • Principles of Cone Beam CT Angiography
  • Home
    • BANANA 2022
    • Credits & Disclaimer
    • Diagnosis and Treatment of Pulsatile Tinnitus
      • Jugular Compression C1 Lateral Mass Resection and Styloidectomy
      • Pulsatile Tinnitus Carotid Artery Dissection
      • Pulsatile Tinnitus Carotid Artery Loop
      • Pulsatile Tinnitus Glomus Jugulare
      • Pulsatile Tinnitus Glomus Tympanicum
      • Pulsatile Tinnitus Intracranial Hypertension Persistent Sinus Stenosis After Shunting
      • Pulsatile Tinnitus Intracranial Hypertension Venous Sinus Stenosis Stenting and Follow Up
      • Pulsatile Tinnitus Intracranial Hypertension Venous Stenting
      • Pulsatile Tinnitus Jugular Plate Dehiscence
      • Pulsatile Tinnitus Otospongiosis
      • Pulsatile Tinnitus Sigmoid Dural Fistula Vein-Sparing Treatment
      • Pulsatile Tinnitus Superior Semicircular Canal Dehiscence
      • Pulsatile Tinnitus Venous Sinus Diverticulum Stenting
      • Pulsatile Tinnitus Venous Sinus Stenosis
      • Pulsatile Tinnitus Venous Sinus Stenosis and Stenting
      • Pulsatile Tinnitus Venous Sinus Stenting
      • Pulsatile Tinnitus Vertebral Dissection
    • Mailing List
    • Neuroangio Topics
      • 3D Cone Beam CT Applications in Neurointerventional Radiology
        • CBCT How To Do It Siemens Icono AVM Micro DYNA Targeted Embolization Fusions
        • CBCT How To Do It Siemens Q Basic Post Pipeline DYNA Dilute Contrast and SuperDYNA
        • CBCT How To Do It Siemens Q Superdyna Basilar Perforator Aneurysm Pipeline
        • CBCT How To Do It Siemens Q Tiny ACOM Aneurysm Coiling Fusions
      • CT Angio Atlas
      • Intracranial Collateral Pathways
      • Introductory Brain Angiography
      • Introductory Spine Angiography
      • Neurovascular Evolution
        • Vascular Neuroembryology
      • Perfusion Primer
      • Stereo Angiography — An Art Collection
        • Stereo Anatomy Venous Brain Posterior Fossa
        • Stereo-Photography-Collection
        • Stereo_Anatomy_Arterial_Brain
        • Stereo_Anatomy_Spine
        • Stereo_Anatomy_Venous_Brain
        • Stereo_Brain_Venous_Pathology
        • Stereo_Movies
        • Stereo_Pathology_Spine
      • Subdural Hematoma Embolization
      • Ukraine Presentations
        • Ukraine Presentations 2024 August Dangerous Anastomoses
      • WFITN 2022
    • Neurointerventional Techniques
      • Balloon Test Occlusion
      • Case Archives Petroclival Meningioma MHT and ILT access
      • Cone Beam CT 3D Fusions
      • Preoperative Brain Tumor Embolization
        • Archives Skull Base Meningioma Embolization MHT Access
        • Case Archives — Clival and Foramen Magnum Meningioma Embolization and Transnasal Resection
      • Techniques — Brain Dural Fistula Embolization
        • Techniques — Dural Fistula Embolization Case 1
        • Techniques — Dural Fistula Embolization Case 2
        • Techniques — Dural Fistula Embolization Case 3
        • Techniques — Dural Fistula Embolization Case 4
        • Techniques — Dural Fistula Embolization Case 5
      • The Art of Cerebral Angiography
    • Yun Peng Huang Collection
  • Patient Information
    • Arterial Dissection — Carotid, Vertebral, Basilar Arteries
    • Brain Aneurysm
    • Brain Arteriovenous Malformation
    • Brain Dural Fistula
    • Carotid Artery Web
    • Developmental Venous Anomaly or DVA
    • Infundibulum
    • Intracranial Arterial Dissection
    • Spinal Angiogram
    • Spinal AVM
    • Spinal Dural Fistula
    • Spinal Intradural (Pial) Fistula
    • Spinal Metameric AVM
  • Pipeline Device
    • Pipeline Classic
    • Pipeline Device Aneurysm Selection
    • Pipeline Device Guide
    • Pipeline Flex
  • Sample Test
  • Spinal Vascular Anatomy
    • Lateral Spinal Artery
    • Spinal Arterial Anatomy
    • Spinal Arterial Aneurysm
    • Spinal Dural Fistula
      • Cases Spinal Dural AVF
    • Spinal Epidural Fistula
    • Spinal Intradural (Pial) Fistula
    • Spinal Vascular Malformations (umbrella page)
    • Spinal Venous Anatomy
  • Venous Brain Anatomy
    • 4th ventricle and its veins
    • Anterior Pontomesencephalic Vein
    • Basal Vein of Rosenthal
    • Bridging Vein (anterior brainstem group)
    • Cavernous Sinus
    • Cerebral Venous Embryology
    • Deep Venous System
    • Diploic Veins
    • Dural Venous Channels
    • Dural Venous Vasculature — Intrinsic Dural and Skull Veins
    • Emissary Veins
    • Internal Cerebral Vein
    • Lateral Mesencephalic Vein
    • Medullary Veins – White Matter Veins
    • Medullary Venous Malformation or DVA
    • Precentral Cerebellar Vein
    • Superficial Venous System
    • Veins Posterior Fossa
    • Venous Sinuses
© 2026 - neuroangio.org Proudly powered by WordPress  Weaver II by WP Weaver