Part of our Malignant Aneurysm Series — partially thrombosed, ever expanding, mass-effect types. The main point is that aggressive aneurysms require aggressive strategies. Stent-coil is not the answer here. What works, if anything, is equally aggressive therapy — sacrifice, flow reversal, combined surgical/endovascular strategies, multi-PED constructs.
Case by Eytan Raz MD PhD
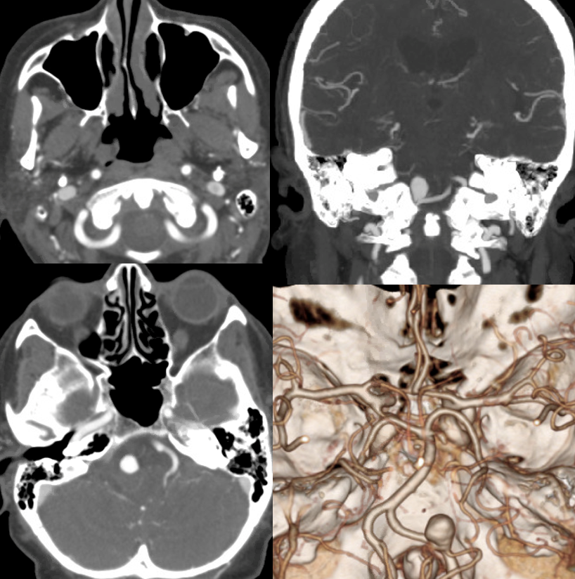
Mass effect/brainstem edema with a PICA aneurysm

Partially thrombosed even at smaller size is a sure sign of malignant / aggressive behavior


The mistake here would be to hope that some kind of endosaccular treatment will solve the problem. This needs more

PLan to sacrifice right vert and Pipe across VB junction into PICA.

Could one argue that pipe is not necessary. Possibly. The main point is that this needs aggressive solutions before its too late. Flow reversal is key. What if sac is not enough and mass effect worsens? Take that chance or maximize odds of success with a Pipe? We did what we did
MRI is more important than angio here. A completely thrombosed aneurysm and improved brainstem are sure indications of success

Angio
