
Something everyone heard of in medical school — the Charcot-Bouchard aneurysms is setting of long-standing hypertension — seen post-mortem of course
Except we basically never see them in vivo… many believe these were artifacts of tissue processing
More recent reports describe very low incidence and an uncertain relationship to hypertensive hemorrhage. We agree with both statements. I don’t think there has EVER been a convincing demonstration of these by angiography in an unruptured case. The published reports are of a single pseudoaneurysm inside a hemorrhage — a spot sign in other words. Incidental finding of lots of them is another matter.
Finally came across something that might pass for them — history is angiography for evaluation of cerebellar hemorrhage
Flat Panel imaging



Good luck seeing these on angio

Can you maybe see on this stereo?

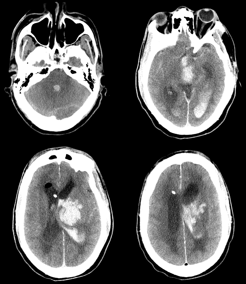
One more! Presented with basal ganglia hemorrhage

More cases — pons hemorrhage





Another one — pretty bad bleed and not from the pontine ones either — best we can tell Charcot-Bouchard aneurysms are a marker for ridiculous hypertension — no areas of active bleeding — at least not most of them — until one blows.

Things look much worse by the time patient is transferred to our place

Here they are…
